歯冠長延長術(症例集)
歯冠長延長術の治療をおこなった患者さまの症例1(品川区 40代男性)
- 治療内容:
- むし歯が歯肉の中まで進行し、被せ物が入れられず通常であれば抜歯が必要な状態の上顎前歯4歯について、歯冠長延長術を行うことで被せ物が入れられる状態になり、歯の長期的な保存が可能となった症例。
- 治療期間:
- 10ヶ月
- 費用:
- 16万円
- リスク、副作用:
- 歯の破折や重度歯周病による組織の破壊が大きい場合、対応ができないことがあります。
歯周外科手術後数日間腫れることがあります。
After
歯冠長延長術の治療をおこなった患者さまの症例2
- 治療内容:
- むし歯が歯肉の中まで進行し、被せ物が入れられず通常であれば抜歯が必要な状態の下顎小臼歯2歯について、歯冠長延長術を行うことで被せ物が入れられる状態になり、歯の長期的な保存が可能となった症例。
- 治療期間:
- 4ヶ月
- 費用:
- 16万円
- リスク、副作用:
- 歯の破折や重度歯周病による組織の破壊が大きい場合、対応ができないことがあります。
歯周外科手術後数日間腫れることがあります。


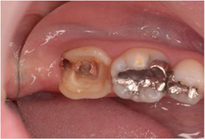
歯冠長延長術の治療をおこなった患者さまの症例3
- 治療内容:
- むし歯が歯肉の中まで進行し、被せ物が入れられず通常であれば抜歯が必要な状態の右下奥歯について、歯冠長延長術を行うことで被せ物が入れられる状態になり、歯の長期的な保存が可能となった症例。
- 治療期間:
- 4ヶ月
- 費用:
- 16万円
- リスク、副作用:
- 歯の破折や重度歯周病による組織の破壊が大きい場合、対応ができないことがあります。
歯周外科手術後数日間腫れることがあります。
After
歯冠長延長術の治療をおこなった患者さまの症例4
- 治療内容:
- むし歯が歯肉の中まで進行し、被せ物が入れられず通常であれば抜歯が必要な状態の左下奥歯について、歯冠長延長術を行うことで被せ物が入れられる状態になり、歯の長期的な保存が可能となった症例。
- 治療期間:
- 4ヶ月
- 費用:
- 8万円
- リスク、副作用:
- 歯の破折や重度歯周病による組織の破壊が大きい場合、対応ができないことがあります。
歯周外科手術後数日間腫れることがあります。
After
歯冠長延長術の治療をおこなった患者さまの症例5
- 治療内容:
- むし歯が歯肉の中まで進行し、被せ物が入れられず通常であれば抜歯が必要な状態の左下奥歯について、歯冠長延長術を行うことで被せ物が入れられる状態になり、ジルコニアクラウン修復を用いて歯の長期的な保存が可能となった症例。
- 治療期間:
- 5ヶ月
- 費用:
- 16万円(歯冠長延長術の費用)
- リスク、副作用:
- 歯の破折や重度歯周病による組織の破壊が大きい場合、対応ができないことがあります。
歯周外科手術後数日間腫れることがあります。
















