2026/04/23
品川区の歯医者 かなもり歯科クリニックの助手 鶴見です。
「ズキズキと脈打つような痛みで眠れない…」
そんなつらい虫歯の痛み。
重度になると“神経を取る治療(根管治療)”が必要になることがあります。
では、神経を取った後、あの強烈な痛みはどうなるのでしょうか?

目次
患者情報
30代 男性
「左下の奥歯が、冷たいもの・温かいもので激しく痛む」
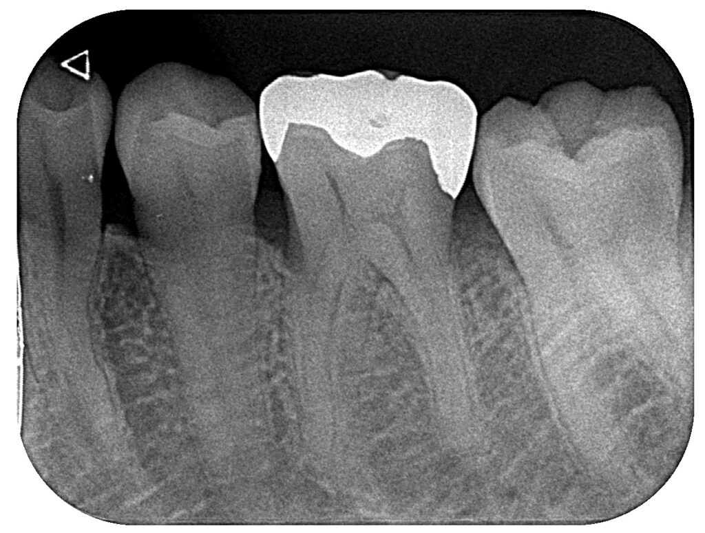
診断結果
レントゲンおよび口腔内の確認により、
神経まで達した重度の虫歯(C3)を認めました。


強い痛みがあったため、しっかりと麻酔を行いました。
• 下顎孔伝達麻酔
• セプトカインによる浸潤麻酔
• 歯根膜麻酔
その後ラバーダム防湿を行い、インレーと呼ばれる金属を除去。
虫歯を取り除いていくと、根の深い部分からの出血が止まらず
神経を取る処置(抜髄)となりました。
その際に歯に細かなヒビ(クラック)が確認されました。
歯のヒビは、日常的な食いしばりや歯ぎしり、硬いものを噛んだ際の負担などによって
生じることがあります。見た目では分かりにくく、
気づかないうちに進行してしまうことも少なくありません。
この患者様の場合も、ヒビから細菌が侵入し、内部で虫歯が進行していました。
その結果歯の神経まで感染が及び、神経の治療が必要な状態となっていました。
初期の段階で発見できれば、神経を残せる可能性もありますが、
ヒビは発見が難しく、症状が出た時にはすでに進行しているケースも多いのが現状です。

患者様目線での術後の痛みの経過
• 当日夜
「麻酔が切れてからズキズキする痛みがあったため、痛み止めを1錠服用して就寝した」
• 翌日〜3日目
「噛むと少し響く感じ(違和感)があったが 我慢できる程度であった」
これらの症状は神経を取った後に起こる「一時的な炎症反応」と考えられます
痛みの経過
• 強い痛みは消失
• 噛んだときの違和感が軽度に残る
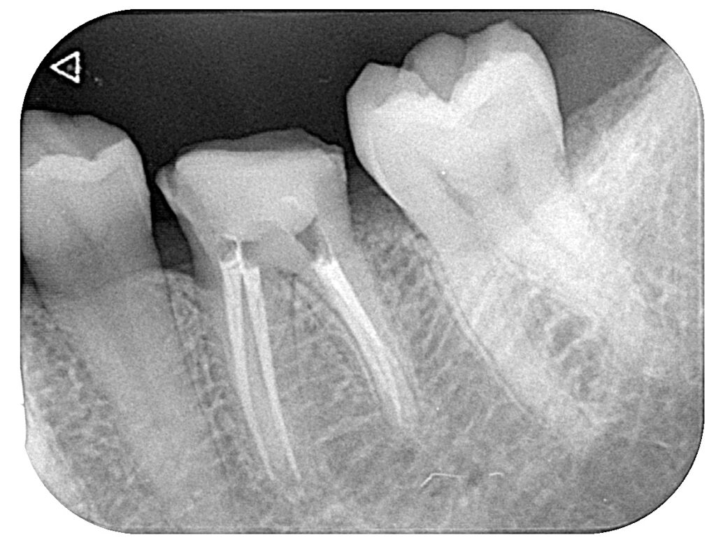
根の状態に問題がないことを確認し、
根管内に薬を詰める処置(根管充填)を行いました
(※根管充填後のレントゲンです)

• ファイバーコア(土台)を立てる
• 仮歯の装着

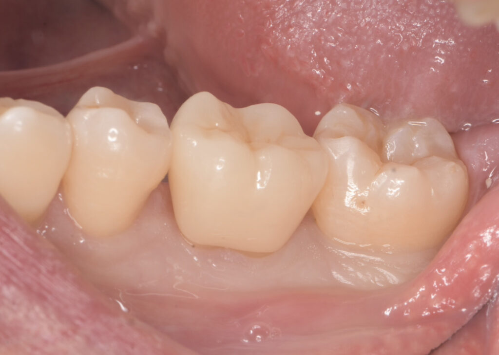
この後、最終的な被せ物(今回はジルコニアクラウン)を被せて治療は終了です。

• 神経の炎症が強かった
• 根の先(根尖部)が過敏な状態になっていた
神経を取った後でも、一時的に痛みが出ることは珍しくありません
当院では以下を徹底しています
• しっかり効かせる麻酔
• ラバーダムによる無菌的処置
• 丁寧な根管治療
• 必要に応じた鎮痛薬の使用
・マイクロスコープ(歯科用顕微鏡)を用いた拡大視野下での治療

• 強く噛まない
• 痛みがある間は無理に使わない
• 処方された薬は適切に服用
• 違和感が強い場合はすぐ連絡

神経を取ったあとに痛みが出ると、
「治療が失敗したのでは?」と不安になる方も多いです。
しかし実際には、
体の正常な反応として一時的に起こる痛みであることがほとんどです。
適切な治療を段階的に進めることで、痛みは必ず落ち着いていきます。
最後に「ズキズキする痛みがあるけど、まだ我慢できるから…」と放置してしまうと、症状は悪化してしまいます。
早めの受診が、結果的に痛みも治療回数も少なくするポイントです。
気になる症状があれば、お気軽にご相談ください。

私たちは歯周病専門のクリニックとして虫歯治療から噛み合わせまで、
患者さま一人ひとりに合わせたトータルな治療をご提案し
患者様の満足を第一に最後まで治療します。
初診のお申し込みは、24時間WEBから可能です。
皆様のご来院を心からお待ちしております。
http://kanamorisika.com/yoyaku24h/
北品川の歯医者・かなもり歯科クリニックのインスタグラムも更新中!
根管治療後の痛みの原因とは?いつまで続く?痛いときのNG行動を解説
記事はありません