前歯部のインプラント症例

かなもり歯科クリニック 医院ブログ

大切な歯を残す。品川区・大田区(東京)の歯科・インプラント・歯周病なら当院へ

前歯部のインプラント症例


前歯のインプラントは目立つ場所にあるので

非常に処置に注意が必要です

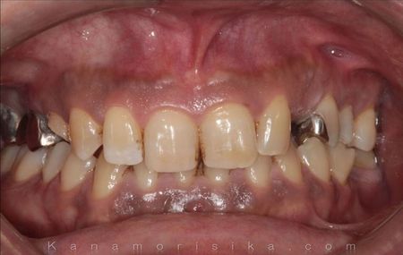
処置後の口腔内写真です

WS000173.JPG

この処置の条件は

・歯がなくなってから時間が経過している
・非常に力のかかりやすい場所である
・CT診断により既存骨内へのインプラント埋入ポジションが非常にシビア

上記の理由により

1回目の手術はサージカルステントを使用しインプラント埋入位置を精密に管理
インプラントを支える周囲骨の不足した部位には同時骨移植

2回目の手術時歯肉の移植行い審美的な歯肉のボリュームを回復

最終上部構造は
インプラント周囲炎の原因の一つになるセメント合着は避け
ネジ止めのジルコニア上部構造としました

術前の口腔内写真です

WS000174.JPG

最終印象

WS000177.JPG

比較口腔内写真です

WS000175.JPG

患者様の協力により
禁煙
オフィスホワイトニング・ガムピーリングも行い
自然なお口の中が回復出来たと思います

今後禁煙に関しては
不安定な状態だそうですので・・・
メインテナンスにてフォローアップさせていただきたいと思います

E 様 本当にお疲れ様でした
スタッフ一同全力を上げて
維持安定に努めてまいります!!