ちょっとした変化・・・

かなもり歯科クリニック 医院ブログ

大切な歯を残す。品川区・大田区(東京)の歯科・インプラント・歯周病なら当院へ

ちょっとした変化・・・


当院ははじめてで歯科検診を5年ぶりに
いらっしゃった方です

下の前歯に違和感がかなり昔からあったが
3ヶ月前からニキビのようなものが出たり出なかったりとのことで
いらっしゃいました

WS001216.JPG

右下の前歯の根本に小さな膨らみがありました

WS001217.JPG

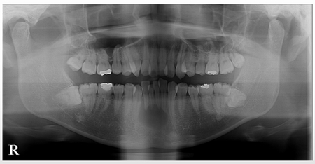
レントゲン写真をみると大きな黒い影があります
かなり大きな根尖病変のようです

WS001218.JPG

CT像では2本の根管が確認できます

WS001219.JPG

根尖病変は前歯4本にまたがっているように見えますが
電気歯髄診断で
右下の1番のみが神経が死んでいて
その他の歯の神経は生きていることが確認されています

WS001220.JPG

原因の歯は強打した可能性が高いのですが
ご本人は10年ほど前に酔ってころんだことがあったが
よく覚えていないとのことでした

この歯に関しては現在根管治療を開始して
歯肉の腫れもなくなり症状も消えましたが
長期にわたる経過観察をしていきたいと思います

無症状で
ここまで大きくなることはまれですが
酔ってころんだときには
歯科検診を・・・