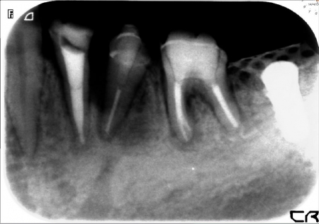
破折片除去 根管治療

かなもり歯科クリニック 医院ブログ

大切な歯を残す。品川区・大田区(東京)の歯科・インプラント・歯周病なら当院へ

破折片除去 根管治療


かなもり歯科クリニックでは

拡大鏡.マイクロスコープを用い

異物除去をおこない精度の高い根管治療を行っております

すべての異物が除去できるわけではありませんが

患者様の希望があるかぎりしぶとく!!

WS000014_20140406030332fef.jpg

WS000015.jpg

WS000016.jpg

 WS000013_2014040603033180a.jpg


東京都品川区 北品川 青物横丁,新馬場,歯周病専門医,インプラント認定医,かなもり歯科クリニック

http://kanamorisika.com  03-3450-6480  メールでのご質問はこちら  ご予約はこちら